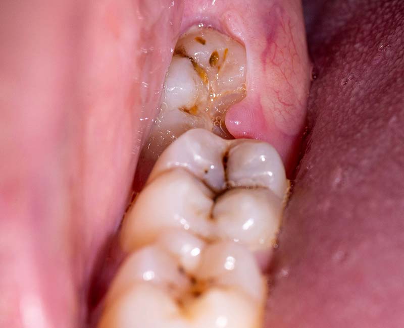
Impaction

  • Home
  • Treatment Details
image

Impaction

Wisdom teeth typically affect young people between the ages of 17 and 25. A wisdom tooth is a third molar in the back of the mouth. Some people have no issues when their third set of molars appears. 

Your wisdom teeth can get trapped if there is not enough space in your mouth for them. Tooth impaction is a condition where the third set of molars only comes through halfway or fails to emerge at all.

Causes of Tooth Impaction

Impacted teeth stay embedded in your gum tissue or bone longer than they should. Overcrowding is usually the issue. Your wisdom teeth can also become impacted if they come in at a twisted angle or shift. You may be at risk for tooth impaction because of genetics or from not getting proper orthodontic treatment in time.

Be aware that any of your teeth can become impacted. Children can have issues with the development of their permanent teeth. That often happens if the baby teeth do not fall out or when a cyst or other growth blocks the permanent tooth’s path. The tooth may push out in the wrong place.

Tooth impaction in children can lead to problems with the roots of other teeth. A child can end up with crowding or have teeth in positions that make it hard for them to chew. Impacted teeth can be extremely painful. The cosmetic effect of tooth impaction can also lead to issues with self-esteem.

It’s often easier for orthodontists to correct issues in children. That is why orthodontists recommend having children evaluated for potential issues by age 7.