Trauma

  • Home
  • Treatment Details
image

Trauma

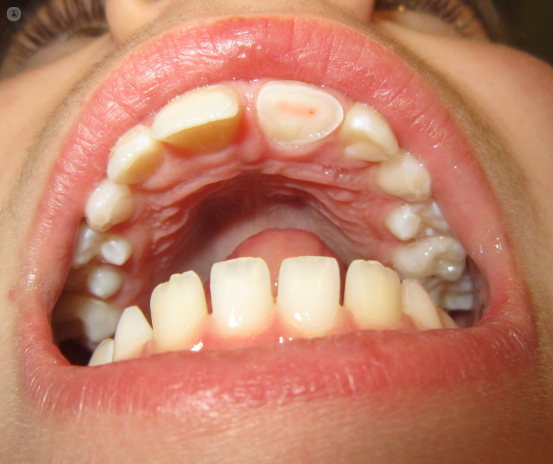
Dental trauma is physical injury to the teeth, gums, the alveolar bone (the bone that holds the tooth sockets), or the soft tissue of the mouth, including the lips and tongue. There are several types of injury that fall under the category of dental trauma, including the following:

  • Chipped tooth
  • Tooth fractures, including root fractures, enamel fractures, etc.
  • Tooth knocked loose (subluxation)
  • Tooth jammed into socket (intrusion)
  • Tooth knocked out (avulsion)
  • Fracture of the tooth socket wall
  • Jaw fracture
  • Lacerations of the lips
  • Lacerations of the gums

Treatments for dental trauma

The treatment depends on the nature of the trauma. Injuries to the mouth and teeth should be examined by a dentist, especially if a tooth or teeth have become loose or sustained damage. In some cases, when a tooth is visibly damaged, the neighbouring teeth may also have injuries that are not necessarily visible unless detected by a dental exam.